Dental Implants At Parker Family Dental
Parker Family Dental is offering implant placement and restoration. By incorporating 3D radiograph technology with CAD CAM technology we have the capability to first perform the implant surgery digitally before performing the surgery live. Once the implant placement is in perfect position digitally a surgical guide can be milled with our CAD CAM machine for exact placement of the implant. This allows for greater predictability and safety for the patient. This technology also allows for the implant to be in perfect position for the dental crown to function with full capability. Before the implant is placed the crown is already digitally created and the implant is aligned for perfect fit and performance. The aligning of these new technologies makes Parker Family Dental your one stop shop for all your implant needs.
Dental Implant Case :
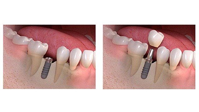
57 y.o male presents to Parker Family Dental for implant placement for missing tooth upper left. 3D Dental CT scan is taken and implant surgery is performed digitally. The patient’s digital impression is merged with the CT scan to create a digital crown for the missing tooth upper left.

The digital implant is checked in three dimensions to determine proper functionality with the crown and avoidance of the patient’s maxillary sinus.

Once the implant is placed digitally in the proper position the data is sent to our CAD CAM machine to design and mill a surgical guide for placement of the implant for the upper left.
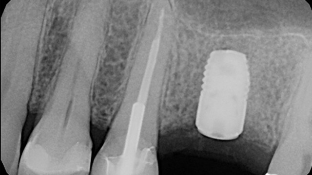
The surgical guide is now used to place the implant in the exact location that was planned digitally.

Following surgery and the adequate healing time the proper implant crown and abutment are attached to the implant for the final prosthesis.


